Tooth loss, whether it be one tooth or many, can drastically affect one’s appearance in a negative way. Whether the loss was a result of poor maintenance, disease, or trauma, the go-to solution to consider is dental implants.
At some point in our life, we will experience some form of dental degeneration that can include cavities, infection, and tooth loss. Tooth loss is almost unavoidable, whether it’s only one tooth or several teeth. Even healthy individuals due to our modern lifestyle, genetics, or unforeseen circumstances will experience edentulism.
By the time the average American reaches their 30’s, they will have already lost five permanent teeth. In general, the older the person, the more likely that they have experienced losing some teeth.
Losing teeth can be natural, but it can also be compounded by many factors including smoking, poor diet, poverty, disease, poor hygiene, accidents, and trauma. For most, tooth loss is inevitable.
The solution is dental implants.
Most people think of dentures as the old school, false teeth of their grandparents. But dentures today actually come in a number of different varieties depending on the individual needs and lifestyle expectations of their wearers. In fact, some dentures are actually permanent solutions that can’t be removed.
Far from the clunky old dentures of your grandparents, today’s alternatives utilize a variety of cutting-edge materials, are lighter, stronger, more resilient, more comfortable, and generally fit more naturally and more precisely than the dentures of yesterday.




Can Dentures Affect The Way A Person Looks, Feels, Eats, & Speaks?

How Long Do Dentures Last?

Are Dentures Worn Every Day & Throughout The Day?

Should I Use Denture Adhesive? What's The Ongoing Costs with Dentures?

How Much Do Dentures Cost?

What Are The Alternatives to Dentures?

Dental Insurance That Cover Implants and Dentures

Top 10 Best Denture Cleaners

Dentures are artificial teeth designed and fabricated as aesthetic and functional replacements for real teeth. Dentures can come in a variety designs and applications. While a full set of removable dentures, or artificial teeth, remains a popular option for those with edentulism, there are other great options. Today, patients can choose between conventional dentures, also referred to as immediate dentures, partial dentures, and implant-supported denture solutions. Each different denture treatment has its own set of advantages and disadvantages that every consumer should consider before making a final decision.
The answer is, yes, dentures are the most affordable tooth restoration option. Compared to conventional individual dental implants which can be as high as $2,500 to $4,500 per tooth or as high as $150,000+ for a full mouth replacement procedure such as All-On-4 dental implants, a complete set of dentures with 32 teeth can cost roughly $2,000 to $5,000 per denture (upper and lower plates).
While individual dental implants have significant advantages, the cost can be prohibitive for some patients. Not only do dentures cost significantly less than other solutions, they are also less invasive, require little recovery, and aren’t dependent on the quality and quantity of existing underlying bone structures.
When deciding between the various widely available dentures options, the most important factor is whether it will be a good fit for you. Ask yourself the following questions: will it fit my lifestyle? Will it fit my dental health needs? Will it fit my budget? Once you have the answers to these fundamental questions, you can then decide which denture therapy will work best for you.
The first time many people see or hear about dentures is usually in relation to their grandparents. Sure, dentures are often associated with older people, but they have come a long way since the days of your grandparents.
For many, especially young and middle-aged people, dentures often conjure up images of unwieldy, false teeth floating in a cup of water. While similar in concept, modern dentures are very different from the old chompers most people have in mind.
Modern dentures, in contrast to the traditional dentures of the past, can actually come in many shapes and sizes. They can be so-called “partial dentures” or “complete dentures”. There are even “implant-supported dentures”. More importantly, depending on the application, modern dentures needn’t even be removable. Permanent dentures are a real possibility, although quite different than most people’s conception of what dentures are.
Of course, one of the most significant drawbacks of old-school dentures was the genuine possibility that they might accidentally fall out. Imagine the embarrassment someone might experience if their teeth were to slide out of their mouth accidentally.
Luckily, that’s where modern digital and dental technologies have made an enormous difference. Not only are there permanent denture solutions (that involve mechanically anchoring dentures in place), but the process of crafting and fitting removable dentures has also advanced dramatically as well.
In the past, dentures were primarily crafted out of a single block of material, usually, resin, and manufactured in standard sizes. Like buying a suit of the rack, as opposed to a bespoke fit, standard sizes often resulted in a poor fit for many people. This was a real problem; after all, no two mouths are the exact shape and size. While dental professionals recognized this shortcoming at the time, the technology wasn’t available to economically and affordably create a custom piece for every individual. Custom dentures had to made by hand by an artisan. As a result, lots of patients opted for off the rack products. Unfortunately, decades of ill-fitting traditional dentures have given dentures a bit of a bad name.
Today, with the rise of digitization, 3D printing, and Computer-aided Design and Manufacturing CAD/CAM technologies, a perfectly fitted set of dentures can be crafted quickly and efficiently with exact precision. Furthermore, new dental-grade materials such as porcelain and zirconia have opened up new opportunities for better aesthetics, mouth-feel, and durability than just resin alone. Some custom, hybrid pieces can be crafted with a mix of materials. By and large, modern dentures use tissue-shaded powders, such as polymethyl methacrylate acrylic (PMMA).
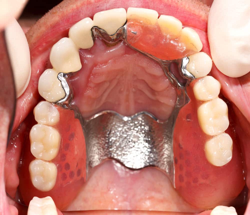
Dentures are replacement teeth that can be removed when needed. It is essential to note the existence of permanently anchored dentures (referred to as permanent dentures) as well as so-called conventional dentures, including partial dentures, flexible dentures, and implant-supported dentures.
Conventional dentures are removable prosthetics that are supported by the gums or, in some cases, the hard tissues such as the jaw bone or surrounding teeth.
Dentures are replacement teeth that can be removed when needed. It is essential to note the existence of permanently anchored dentures (referred to as permanent dentures) as well as so-called conventional dentures, including partial dentures, flexible dentures, and implant-supported dentures.
Conventional dentures are removable prosthetics that are supported by the gums or, in some cases, the hard tissues such as the jaw bone or surrounding teeth.
Some types of partial dentures, for example, are supported and held in place by clasping onto adjacent teeth.
Typically, dentures remain in the mouth except when they need to be cleaned. Natural, living tissues change and morph in shape over time. As a result, dentures may need to be refitted and replaced after a particular time that is different from patient to patient. On average, dentures need to be refitted every few years.
Meanwhile, permanent dentures function much like conventional dentures with the notable exception that patients themselves cannot remove them. Instead, permanent dentures are often held in place by anchors such as dental implants that require professional assistance to remove. Nonetheless, they are still technically removable, although commonly referred to as “permanent dentures.”
Full dentures are the full sets of removable teeth and gums that come to mind when most people think of dentures. Full dentures rely on suction and soft tissue support to stay in place. This tried-and-true solution to tooth loss, however, has come a long way from the old dentures of the past. While the basics remain the same, the materials and fabrication methods have vastly improved. Full dentures can now be designed and created out a variety of dental-grade materials, including porcelain or acrylic, depending on your personal needs and desires. They can also be crafted in a way as to be virtually indistinguishable from real teeth to the casual observer.
Partial dentures (and flexible partial dentures) are dentures designed to fill in a gap. Sometimes referred to as dental bridges, partial dentures are not supported by the gums but rather by healthy adjacent teeth. Successful supports can be created in a variety of ways, including metal clasps and even crowns. Partial dentures are very popular with over 14,800 searches a month on Google compared to only 880 searches for full dentures and 2,400 searches for implant-supported dentures.
Implant-supported dentures combine the stability, aesthetics, and longevity of conventional implants with the affordability and relative ease of replacement associated with traditional dentures. Conventional dental implants require one implant per tooth. This means that a full set of teeth, both upper and lower arches, would require 32 implants or more! In contrast, implant-supported dentures only need as little as four implants per arch for permanent stability. As a result of the drastically reduced number of implants required, implant-supported dentures cost less, are easier to install, and require a shorter recovery period than full mouth reconstruction with conventional individual implants.
Compared to full dentures, implant-supported denture solutions are generally more expensive. However, the sticker price doesn’t tell the entire story. The comparably longer longevity, higher resilience, better mouthfeel, and more seamless sit all point to a solution that is well worth the initial upfront investment. Furthermore, implant-based solutions actually physically stimulate the underlying jaw bones which help to combat bone resorption or atrophy.
Contrary to popular belief, there is no historical evidence that George Washington ever sported wooden teeth. Wood would most likely not be the best dental material or suitable for the first president of the United States. Instead, according to historical records, George Washington had much fancier dentures custom crafted for him from hippopotamus ivory and gold wires springs.
Of course, the history of dentures goes back much further even than the American Revolution. As long as human beings have had to deal with tooth loss, they have come up with denture-like solutions. The ancient Egyptians, for example, employed dental bridgework using gold wires to tie a replacement tooth in place in the mouth. Likewise, the Greeks, Etruscans, Romans, Chinese, and other ancient cultures also employed similar tactics with varying degrees of success. There are examples of ancient people crafting dentures out of everything from animal teeth to lead to tortoise shells and aluminum.
Dentures as we might know them today, however, didn’t take shape until the middle ages. Once again, the Chinese, who also invented paper, movable type, and gunpowder during this era, also developed the first true dentures. Initially crafted from wood, the art of denture crafting soon moved on to more resilient materials such as ivory. The art of crafting dentures took a leap in the 17th century with Pierre Fauchard, who invented and perfected many techniques for carving dentures out of ivory and other materials.
Pierre Fauchard, for example, used beeswax to create a mold or impression of a patient’s mouth. This impression was then allowed to harden and sent to artisans to reproduce. The overall principles of impression taking still carry forth to this very day – albeit sans the beeswax and ivory. Porcelain, which was invented in China in the 9th and 10th centuries, also began seeing use in dentistry and dentures in particular during this time.
Progress continued in the intervening decades and centuries in fits and bounds. However, it wasn’t until the 1930s when dentists began experimenting with plastic acrylics. Acrylic resin was used in dentures in 1937. Not long afterward, dentists started using epoxy resins. In 1986, then Dentsply International came out with a form of acrylic resin that could be cured with visible light which significantly streamlined the denture fabrication process. In the past, the manufacturing process for resinous dentures required waxes, flask boil outs, and other sophisticated industrial processes.
Today, PMMA resins are one of the most popular dental materials for everything from dentures to bridges and other dental prosthetics. Research continues on ways to strengthen PMMA resins and on the incorporation of different materials such as porcelain and titanium into dental applications such as dentures.

Dentures have come a long way from the wooden teeth, carved ivory, and steel wires of past eras. Fortunately, as dental technologies have improved, so have our dentures.
Nonetheless, the modern conventional process of making dentures still relies on a degree of meticulous handicraft and labor by artisans. With the advent of new innovations that include digital scanning, CAD/CAM technologies, and the rise of commercial 3D printing, this has all changed how dentures are produced.
So let's get started and see the process for creating dentures.
In the past, meaning just a few years ago, there was a conventional process for creating dentures. Today (at least for most prosthodontists using the latest technologies) there is a much better and more accurate process for producing stunning dentures. This process utilizes digital technologies that I’ll share in this chapter as well as the innovation of 3D printing.
I will show you the benefits for both doctor and patient using the latest technology over the traditional conventional processed denture of the not too distant past.
However, let’s explore both processes to give you perspective.
The “old” conventional process of creating custom dentures has dominated the market for decades. Most dentures created over the last several years will have been made using this old process or a variation of this process. It was considered the tried and true method to produce a beautiful set of handcrafted dentures.
The reality is, no two custom dentures will ever be the same, no matter which process you choose. However, there are significant differences.
The conventional denture-making process takes weeks to complete and requires patients to make at least two separate appointments.
Following is the process to produce conventional dentures:
The prosthodontist will create an impression of your gums and oral cavity using a unique, gooey paste. This initial impression will be the basis of a patient’s final dentures.
While the impression paste is still soft, a wet plaster called “dental stone” is poured and slathered over the impression, thereby locking the impression in place. Once hardened, this creates a solid cast of the impression and helps to preserve the exact shape of the initial impression during transportation. The cast is then sent to a lab for fabrication.
At the lab, the cast is placed in a device known as an “articulator.” This is a mechanical tool that mimics a person’s jaws. Both the upper and lower casts of a patient’s mouth can be mounted onto the device allowing the lab technician to replicate a patient’s exact bite. This will help them with the creation of a wax impression.
With the aid of the cast impression and an articulator, a lab technician will begin shaping a wax model of the gums. Acrylic teeth are also placed at this time. This preliminary wax set of dentures is then sent back to the prosthodontist for evaluation and approval. If approved for rough fit and aesthetics by the prosthodontist and patient, the wax model is returned to the lab for final fabrication.
Once the wax model is approved and returned to the lab, it is then placed in a mold and boiled down in a hot water bath. The wax melts away leaving the teeth and stone behind. This resulting negative space needs to be filled with a final acrylic material.
After the wax is completely removed, the technician will drill tiny holes into the remaining acrylic teeth. Doing so will ensure that the final acrylic material will mechanically attach to the teeth. This can also be achieved through sandblasting attachment surfaces.
Using an IvoBase system or similar system, a unique liquid acrylic is injected into the mold, taking up the space left behind by the wax. Some processes call for a layer of silicone before the injection of acrylics to make removal of the final product from the mold easier and less prone to complications.
The entire mold sometimes referred to as a “flask,” is placed beneath a dental clamp. This will hold the mold device in place as the dental technician pries out the inner plaster (stone) and acrylic.
After the stone plaster has been completely removed, the acrylic dentures are then finished with cross-cut tungsten-carbide burs and sandpaper. This gives the denture a more natural-looking shine that resembles a person’s actual gums.
While many people consider dentures to be an aesthetic and functional solution for missing teeth, dentures also functionally cover much of a patient’s gums. As a result, the aesthetic qualities of the denture base are also essential if a natural look and feel are desired.
To achieve a seamless transition between the denture and the patient’s existing oral tissues, the technician can sculpt minute details such as natural grooves into the denture, making it look much more natural.
Technicians will also characterize teeth to make them look and feel natural.
Finally, with the denture finished, the only step remaining is to place the final prosthetic into a patient’s mouth.
3D printing has become a buzzword on the lips of early adopters and entrepreneurs in every industry. In many ways, the advent of localized fabrication will disrupt the traditional model of outsourcing product manufacturing to off-site labs. In the dental industry, this is already happening.
Advanced printer makers, such as FormLabs, already offer dental offices commercial-grade printers capable of incredible accuracy and speed. From a consumer and denture patient standpoint, this development is a net benefit.
3D printing technology, in combination with digital scanning, and CAD/CAM workflows promises not only reduced wait times, but better denture fits, and substantially reduced costs. While a digitized denture-making process is still relatively new, localized 3D printing is, without a doubt, the future of the cosmetic dentistry industry.
A new 3D printing denture-making workflow can be completed in a single day, giving rise to the term “chair-side” fabrication. Patients often leave the same day with a complete set of custom dentures.
In the past and up to today for dental offices with outdated technology, the conventional denture-making process requires a physical impression. However, the process of taking a physical impression, curing it in stone plaster, sending it to a lab, then recreating a wax replica not only takes time, it often is not accurate.
At each of these steps in a conventional denture process is the possibility of human-induced errors that can result in a bad set of dentures.
With 3D digital scanning, however, all the information about a patient’s existing oral condition can be taken in a single step without the gooey impressions of the past. Data can be instantaneously and, most importantly, losslessly, transmitted anywhere at any time with complete accuracy. Better yet, digital scanning is accurate and comfortable for patients than working with a traditional impression tray and all the pink goo.
Using a TRIOS3 intraoral scanner or similar scanning equipment, a prosthodontist can generate pinpoint accuracy in data of a person’s oral cavity. Occasionally, a Silaput silicone putty material may be necessary to aid in generating scanner data.
Raw data captured by an intraoral scanner is then transmitted seamlessly to a computer with specialized CAD/CAM software designed for editing 3D data.
Once the scanner’s data is imported into a dental CAD solution, the software will render a 3D model that can be fully manipulated digitally. This enables nearly limitless control in sculpting a patient’s dentures without fear of making irreversible mistakes or damaging a physical model. Unlike a wax mold, digital models can be experimented with, prototyped, and dramatically manipulated, and if necessary reset with a single button making it possible to produce a perfect set of dentures.
If the resulting digital model is satisfactory to the prosthodontist, the digital model is sent to a 3D printer — in-house or third-party lab. There are a variety of 3D printing processes available today from different providers and printer makers.
The denture base is commonly milled from a single piece of Organic PMMA Eco Pink discs complete with sockets for artificial teeth. The teeth are printed separately out of an acrylic material.
After some minor finishing, both the gums and teeth then adhere together with an acrylic resin. This two-piece approach mimics real like teeth and can give a 3D printed set of dentures an authentic feel and look.
While some characterization, such as natural grooves and other gingival details can actually be incorporated into the 3D printing workflow itself, many prosthodontists prefer to characterize denture pieces by hand. Not only does this give a one-of-a-kind hand-crafted touch to any set of dentures, but the resulting imperfections also make the denture look more lifelike and realistic.
The denture is trimmed of excess material, cleaned, and polished for comfort and a natural look.
The final step is to place the ultimate prosthetic into the patient’s mouth. With a fully-digitized process, the time between the initial dental impression and a final fit can be achieved in a single day.
Some prosthodontists will even fabricate a series of prototype dentures using a digital reclining (DR) approach. They will rapidly print test dentures from Solflex prov A2 material and pink wax to test for fit and finish. Ultimately, the ability to rapidly prototype and test fit in real-time greatly benefits patients leading to a better final fit and higher long-term satisfaction.

In this chapter, you will learn there are a variety of ways to replace your missing teeth. In Chapter 1, we touched briefly on some of the popular types of dentures that are available today. You might be surprised to learn that five types of dentures are the most common. When choosing a denture, it comes down to the objective of your tooth or teeth restoration, needs, and budget.
Each type of denture you will see is quite different. We will cover those types below and show you what you should consider when making your own decision about the kind of dentures you want or need.
* While some dentists refer to individual implants as “dentures”, for the purposes of maintaining clarity in this chapter, we are not including individual implants. If you are interested in individual implants, or implant-based solutions, see our page on Single or Multiple Dental Implants or Dental Implants.
As you can see, the term “dentures” actually covers quite a wide variety of dental solutions. However, all of these solutions share the common characteristic of replacing multiple damaged or missing teeth through the use of a removable prosthetic. It is important to note that removability is relative here.
Some solutions, such as traditional or full dentures and partial dentures, can easily be removed and replaced by patients themselves.
Meanwhile, with implant-supported dentures — while the bridge component is technically removable with the right tools — you will need an appointment with your prosthodontist to remove it for cleaning or maintenance and to secure back in your mouth.
Let’s begin by exploring each denture type in-depth, starting with what most of us think of when we think of dentures: full dentures or some say complete dentures.
Full dentures, also known as complete dentures, are precisely what one might expect. They consist of two arches, an upper and lower arch, that sit atop your gums. As a result, full dentures aren’t used unless a person is completely edentulous (toothless). Typically, full dentures are held in place purely by suction and sometimes with the help of special denture pastes. Because full dentures aren’t affixed like other denture solutions, it is crucial to get a denture that fits. Only then can you be assured your dentures will stay in place, and also will not cause dental sores and other issues associated with poorly fitted prosthetics.
On the surface, full dentures don’t appear to have changed much from your grandparents’ old dentures. Indeed, they function much the same. However, thanks to advances in both fabrication technology and material sciences, today’s dentures function and look much better.
Full dentures are also one of the most affordable and economical solutions for tooth loss with no need for invasive surgery or painful recovery periods. As a result, full dentures remain an excellent choice for the elderly who still want a great-looking functional smile without breaking the bank.
Partial dentures, not to be confused with similar cantilever dentures, which we’ll cover next, function much like full dentures.
However, instead of a full arch replacement, partial dentures only replace one or more missing teeth.
Partial denture solutions use either plastic, metal, or a combination of both to provide support and rigidity for the replacement dentures. Typically, a tooth replacement is affixed to a plastic, gum-colored base or attached to a metal framework. This base or framework holds the tooth or teeth in place. A “tooth flipper” is nothing more than a temporary partial denture, often made from plastic materials, that a dentist may use for a patient while waiting for a more permanent solution.
The three most common types of partial dentures are as follows:
Partial dentures are a great, affordable way to replace one or more missing teeth without invasive surgery. They are particularly useful when you have one or more healthy natural teeth remaining.
Partial dentures allow you to retain your existing natural teeth and selectively replace those that are missing.
Bridge dentures come in three main varieties, fixed bridge dentures, implant-supported dentures, and cantilever dentures.
The one thing each of these different bridge types has in common is the use of end supports to hold prosthetic tooth replacement in place.
Bridge dentures bridge a gap in your teeth. However, how the bridge replacement tooth is supported differs from one type of bridge denture to the next.
Traditional fixed bridge dentures, for example, require the use of crowns on both sides of a replacement prosthetic to provide adequate structural support. The prosthetic itself is connected to the crowns, which are placed over existing adjacent teeth. This usually means that the adjacent teeth must be filed down to accommodate crowns.
If there are no healthy adjacent teeth, a prosthodontist may recommend the use of implant-supported dentures. In this case, dental implants at either end of a dental bridge prosthetic are used to support the crowns. Implant-supported dentures are sometimes called snap-on dentures since they connect onto implant abutments on both ends.
Sometimes, a patient with just a single missing tooth may not want a conventional fixed bridge denture or implant-supported denture. There are several reasons you might not want a fixed solution.
First, fixed bridge solutions often require the removal of existing healthy dental material. With a conventional fixed bridge, for example, both teeth adjacent to missing teeth must be meticulously filed down to accommodate supporting dental crowns. Meanwhile, investing in dual dental implants can also be more expensive. In response, some dental clinics also offer cantilever dental bridges. What this means is that the replacement tooth prosthetic is only attached on one end and supported by either a single crown or a single implant. Cantilever dental bridges are an easier, faster, and less expensive solution. However, they come at the cost of durability. Without end-to-end support, cantilever dental bridges can be prone to breakage.
It often takes time to custom craft dentures or manufacture precision prosthetics (although some advanced dental clinics can do so rather quickly due to advanced technology, cutting-edge equipment, and expertise to do so in-house like ArtLab Dentistry). As a result, you may have to wait weeks to receive your permanent dentures, whether it be a set of full dentures, partial dentures, or dental bridges. Obviously, this can be a problem for many who need functioning teeth in order to go about their daily lives.
That’s where immediate dentures (or temporary dentures) come in. Immediate dentures are designed to be inserted and fitted into a patient’s mouth right after surgery, usually following teeth extraction. These custom-made pieces aren’t meant to be permanent. Instead, they are designed to protect your gums and teeth and provide functionality while your mouth heals and while you await the tooth restoration replacement of your choice.
Implant-supported dentures are the cutting edge technology available for tooth replacement options. They look like full dentures; however, they are permanently affixed in place through the use of strategically located dental implants. This is a great, cost-effective solution for those looking to replace one or both arches with brand new teeth.
One popular type of implant-supported dentures are All-On-4 dental implants. As the name of the proprietary procedure suggests, an entire arch of prosthetic teeth is supported on just four implants. This approach to dentures comes with obvious benefits for patients. See David’s smile transformation shown here.
First, a fixed implant solution simply feels (and often looks) better. There is no worry whatsoever of an implant-supported denture falling out of your mouth in the absence of a traumatic accident. Furthermore, implant-supported solutions such as All-On-4 dental implants have significant physiological benefits.
Many patients who opt for traditional removable dentures and other removable options, such as removable partial dentures, suffer from bone resorption. Without dental roots to stimulate the underlying periodontium and jaw bone, the body naturally allows your facial bones to waste away and be re-absorbed.

Click here to read about David’s smile transformation
Without dental roots to provide the jaw bone with stimulating forces generated from biting and chewing, you will gradually lose bone tissue. The results of bone resorption are visible and a very noticeable detail of aging. Hollow cheeks, loose facial skin, and a weak chin are telltale signs that a person has lost significant bone mass and density.
With an implant-based solution, however, bone resorption can be partially or entirely mitigated. Because dental implants are embedded into the jaw bone itself, much like natural dental roots, they are able to transfer stimulating forces into the jaw. As a result, the body knows to maintain and retain bone depth and density.
In the past, meaning just a few years ago, there was a conventional process for creating dentures. Today (at least for most prosthodontists using the latest technologies) there is a much better and more accurate process for producing stunning dentures. This process utilizes digital technologies that I’ll share in this chapter as well as the innovation of 3D printing.
In the past, dentures were the only game in town.
Today, there are several teeth replacement alternatives other than dentures. Popular alternatives include dental bridges, dental implants, and implant-retained bridges. Each has advantages and disadvantages. We will take a quick look at these important denture alternatives as compared to conventional dentures.
Custom dentures are an excellent solution for edentulous patients looking for a simple, straightforward solution to the problem of missing teeth. With technological advancements in the fabrication process, custom dentures can be made to look and feel almost like natural teeth. However, there are some critical drawbacks to dentures that patients will want to recognize in their decision process.
Dentures do not address an important physiological process known as bone resorption. When a person loses teeth, the body will naturally begin reabsorbing the underlying jaw bone that was formerly supporting those teeth. This is problematic from both a health and an aesthetic standpoint. As bone is resorbed, the jaw can become weaker and more brittle. Past a specific density and depth threshold of the jaw bone, many dental procedures, such as dental implants, will no longer be possible or become much more difficult. Furthermore, the reduction in jaw bone depth and density will eventually result in hollow-looking cheeks and a weaker chin. Both of which are tell-tale signs of visible facial aging. In contrast, youth is most often associated with full cheeks, jaw, and chin. Dentures do not and cannot address the issue of facial aging as a result of bone resorption.
3. Dentures have a poor overall “mouth-feel.” While most denture patients will grow into their dentures, learn to live with them, and eventually feel as if their dentures are a natural extension of their mouth, the dentures themselves are still not a truly integrated solution. As a result, some may feel a physical disconnect between their teeth and the rest of their bodies.
Admittedly, dentures serve their purpose of replacing missing teeth. However, these drawbacks have spurred the development of several important alternatives to dentures. In particular, dental bridges, dental implants, and implant-retained bridges.
Full dentures, also known as complete dentures, are precisely what one might expect. They consist of two arches, an upper and lower arch, that sit atop your gums. As a result, full dentures aren’t used unless a person is completely edentulous (toothless). Typically, full dentures are held in place purely by suction and sometimes with the help of special denture pastes. Because full dentures aren’t affixed like other denture solutions, it is crucial to get a denture that fits. Only then can you be assured your dentures will stay in place, and also will not cause dental sores and other issues associated with poorly fitted prosthetics.
On the surface, full dentures don’t appear to have changed much from your grandparents’ old dentures. Indeed, they function much the same. However, thanks to advances in both fabrication technology and material sciences, today’s dentures function and look much better.
Full dentures are also one of the most affordable and economical solutions for tooth loss with no need for invasive surgery or painful recovery periods. As a result, full dentures remain an excellent choice for the elderly who still want a great-looking functional smile without breaking the bank.
Dental implants are one of the primary alternatives to traditional dentures. Many dentists and prosthodontists will recommend dental implants over dentures to their patients due to the aesthetic, functional, and physiological benefits. Dental implants are anchored in place and supported by a metal post embedded in a patient’s jaw. For obvious reasons, dental implants require a surgical procedure to properly embed the implant itself.
The benefits of implantation, however, are quite significant. Physical attachment to underlying bone provides superior stability. There is virtually no chance of an implant accidentally falling out of a person’s mouth. Furthermore, osseointegration of the implant material and surrounding bone tissues allow the implant to become a literal extension of the person’s mouth and offers patients superior mouthfeel. More importantly, this osseointegration effectively counters the problem of bone resorption. With dentures, bone resorption is virtually inevitable. However, because implants replace lost dental roots, the jaw bone is retained. Implants tell the body to retain bone and slow the resorption process thereby slowing or even reversing visible facial aging.
While implants are the gold standard for replacing missing teeth, the cost of replacing an entire arch or a full mouth can be costly. Each implant can cost upwards of a thousand dollars or more. When multiplied by the number of teeth in a person’s mouth (thirty-two), the cost of an all-implant solution can be too much for most patients. Also, a large number of individual implants can impose a significant cost in terms of surgical pain and healing time.
Thankfully, for patients who require an entire arch replacement and want an implant-based solution, there are implant-supported bridges. Commonly known by the trademarked name “All-On-4 Dental Implants”, implant-supported bridges provide patients with all the benefits of dental implants but with a minimal number of actual physical implants.
As the name suggests, each arch only requires four strategically placed dental implants. Therefore, for a full-mouth solution, patients only need a grand total of eight dental implants. Atop these implants sits a full-arch dental bridge, not unlike a set of dentures. All-On-4 dental implants are sometimes referred to as “implant-supported dentures.” Like traditional dentures, this bridge is designed and fabricated as a single unit replicating gums and teeth. Unlike regular dentures, however, these implant-supported dentures are then attached to pre-embedded dental implants that lock them in place.
Best of all, implant-supported dentures, such as All-On-4 dental implants, can work for patients with reduced bone density and depth. It is a great all-around solution.
The answer to this important question will depend on three crucial factors: First, what is your budget? Second, what levels of aesthetics and functionality do you want? Third, what is your timeline?
Choose dentures if:
If you are an older adult with a modest budget, desire a high level of aesthetic quality, and are looking at a timeline of 3 to 10 years, we would recommend a removable bridge solution or conventional dentures depending on the number of teeth that need to be replaced.
Choose a dental bridge if:
A dental bridge is the industry standard for replacing one, two, or even three missing teeth in a row on a budget. While dental implants have functional and aesthetic benefits, a dental bridge provides excellent aesthetics and adequate functionality for a lower price. The only drawback to a dental bridge is reduced longevity.
Choose dental implants if:
If you require a high level of aesthetic quality and functionality and have the budget, we recommend individual dental implants. You can’t go wrong with dental implants provided that you have adequate bone depth and density to support dental implants, to begin with. Otherwise, additional procedures, such as bone grafting, may be necessary. Dental implants provide the highest level of aesthetics, functionality, and overall mouth-feel. However, they are easily the most expensive solution.
Choose implant-supported bridges (All-On-4 dental implants) if:
Finally, if you want the benefits of individual dental implants but don’t necessarily want to break the bank, it might be worth considering implant-retained and implant-supported dental bridges. These implant-denture hybrid solutions, such as All-On-4 dental implants provide most of the benefits of an implant-based solution but at a lower cost. Implant-supported solutions slot in nicely in the middle ground between traditional dentures, a dental bridge, and individual dental implants.
Sometimes making a decision about which teeth replacement strategy to pursue can be complicated.
Should I choose conventional dentures, dental implants, an implant-detained solution, or something else?
Each teeth replacement solution has its own set of unique strengths and weaknesses that we discussed in the previous chapter, What Are The Alternatives to Dentures.
Part of making the right decision is asking yourself which solution will provide the best improvement to your overall quality of life for your money. What might work for one person might not be the best solution for another person.
Sometimes making a decision about which teeth replacement strategy to pursue can be complicated.
Should I choose conventional dentures, dental implants, an implant-detained solution, or something else?
Each teeth replacement solution has its own set of unique strengths and weaknesses that we discussed in the previous chapter, What Are The Alternatives to Dentures.
Part of making the right decision is asking yourself which solution will provide the best improvement to your overall quality of life for your money. What might work for one person might not be the best solution for another person.
In this chapter, you will learn there are a variety of ways to replace your missing teeth. In Chapter 1, we touched briefly on some of the popular types of dentures that are available today. You might be surprised to learn that five types of dentures are the most common. When choosing a denture, it comes down to the objective of your tooth or teeth restoration, needs, and budget.
Each type of denture you will see is quite different. We will cover those types below and show you what you should consider when making your own decision about the kind of dentures you want or need.

When it comes to maintaining your teeth, a vigorous oral hygiene routine is essential. Thoroughly brush twice per day, floss once per day, and visit the dentist for regular dental checkups every six months to a year.
However, what if you have dentures?
For millions of Americans with full or partial removable dentures, the old adages might not apply – at least not directly. However, they do apply in spirit.
Oral hygiene is still of the utmost importance for people who wear dentures. Even if the teeth you possess aren’t the ones you were born with, strong oral hygiene still promotes better dental and oral health overall. Some dental health habits, such as visiting a dentist regularly, are even more critical when you’ve traded in your old teeth for new ones.
That’s where ultrasonic denture cleaners come in.
Ultrasonic denture cleaners are essentially vibrating bathtubs for your teeth. High-frequency vibrations generated by the appliance shakes biofilm and bacteria loose from your dentures effectively mechanically cleaning your teeth. When used in conjunction with a special denture cleansing tablet, ultrasonic devices can be an easy, effective, and convenient way to help treat and decontaminate your dentures.
According to a study, ultrasonic denture cleaners, when used in conjunction with a vigorous brushing routine, helped to amplify the effectiveness of a patients oral health routine.
Ultrasonic cleaners come in a variety of shapes and sizes, ranging from something that looks like a small rice cooker to large rectangular appliances weighing 20 pounds or more. They also varied widely when it comes to included features and intended audiences.
In place of a lack of useful information in the marketplace, we’ve taken the step of doing the research for you. Our expert internet sleuths have hand selected the highest rated ultrasonic cleaners for you. Remember, what might work for one person’s individual needs, desires, and budget might not work for you. Be sure to include your own considerations of what’s most important for you and use this curated list as a guide to help you in your search for the perfect ultrasonic cleaner for you.
Like many of the lighter weight ultrasonic cleaners on the market, the 3 pound Famili Polisher isn’t strictly marketed for denture cleaning. Many who buy this punchy and affordable cleaner are just as likely to use to this cleaner to clean precious silverware and jewelry as they are their dentures.
The Famili Polisher is easy to use, inexpensive, and if user reviews are to be believed even caused one purchaser to “dance with delight” around his own home. Buyers can also rest easy knowing that nearly a thousand users gave the product a combined score of 4 out of 5 stars on Amazon.com.
However, some users complained about its small basket size and the fact that you have to tip the entire unit over to pour out used denture cleaning liquids.
Although somewhat pricier than the Famili Polisher, the Magnasonic is no slouch when it comes to cleaning performance. Users were so impressed with this device that they awarded it 4.5 stars out of 5. Nearly 5,000 unique reviewers expressed their praise of the device, earning it an “Amazon’s Choice” label. At 2.2 pounds, it’s even lighter than our Cheap & Cheery Performer. However, when it comes to actual cleaning performance, it doesn’t produce noticeably cleaner dentures. Quality, according to some reviewers, is lacking. They felt the product could also use some improvement although some fans noted the one-button approach is excellent to use.
iSonic® makes a variety of ultrasonic cleaning machines. Their most popular one is the iSonic® Professional Grade Ultrasonic Cleaner (P4820-WPB). While it doesn’t have as many reviews on online storefronts such as Amazon.com, it certainly seems to hold it’s own.
For a bump in price, you get a considerably larger basket for multiple dentures or even various pieces of jewelry. You also get a digital timer, a high ultrasonic frequency of 35,000 Hz, and a variety of power draw options. At 6.6 pounds, the iSonic is a bit chunkier, but it’ll still sit nicely and inoffensively on a larger bathroom sink or counter in your house.
The manufacturer of the Gemoro Sparkle Spa Pro claims that their designers worked around the clock to craft a timeless looking statement appliance. The device itself certainly stands apart from its overwhelmingly white, beige, and stainless steel peers.
The reflective black plastic and the shiny plastic chrome trim combined with its symmetrical minimalism indeed suggest a designer kitchen appliance more so than an ultrasonic denture cleaner.
Users rated it 4 stars out of 5 in regards to it’s cleaning performance with the one caveat that you probably shouldn’t use it for certain types of jewelry. Nonetheless, we think it works great, looks great, and isn’t too much more expensive than the least expensive options in the marketplace.
One look at this bad boy, and you know it means serious business. With a 10 liter volume and at 20 pounds, the Tek Motion and other similar devices by similar manufacturers are, in our opinion, a bit overkill for the average consumer looking for convenience. Nonetheless, it’s cleaning prowess cannot be ignored.
The Tek Motion’s wide range of temperatures allows it to get much hotter, and therefore sanitize much better, than more portable and plastic options.
When it comes to cleaning dentures, the cleaner, the better. For older patients and those with arthritis who find brushing to be an arduous task, perhaps a more powerful device may be warranted as their primary denture cleaning option. The Tek motion may also be necessary for the immunosuppressed patients who must ensure completely sanitized dental prosthetics.
While considerably more expensive, the Tek Motion Steel is highly rated and will provide a commercial-grade clean for your dentures. You might, however, need someone to help you pick it up.
If you want the best of the best, but with a correspondingly high price tag to match — this is it.
The RCBS Case is what happens when you ask the question of what happens if I combine commercial-grade ultrasonic technology with durable material construction in a designed body and with a myriad of control options.
At 9.9 pounds, it’s not nearly as heavy as other commercial-grade denture cleaning devices. It’s also much more beautiful looking.
With its powerful 60-watt transducer and 100-watt ceramic heater, it certainly has the power to eliminate any bacteria as well as dangerous microbes. Unfortunately, the high price tag will put many consumers off.
We’re going to step away from heavy-duty cleaners like the stainless steel Tek Motion Steel and the RCBS Case towards something a little less bulky and a lot more consumer-friendly.
Coming in at little more than 4 inches tall, the iSonic F3900 is a compact champion that can sit inconspicuously on your sink.
This cleaner produces higher frequency ultrasonic waves than other compact devices within the same price range.
If you’re looking for something small and easy to use to clean a single set of dentures, this is the best choice. Unfortunately, it’s small size means you won’t be cleaning multiple sets of dentures simultaneously. Users also found it’s an undetachable liquid tank to be a liability and it’s all-plastic build to be somewhat lacking in quality.
Many people dislike the all-plastic build of many of the commercial ultrasonic cleaning devices that litter the marketplace today. That’s where Water-Chestnut Commercial intends to carve out a niche.
The Water Chestnut Commercial is made from industrial-grade stainless steel and is built to last a lifetime. Better yet, it comes in a variety of compact sizes that will sit comfortably on a counter in your home, including 1.3 liters and 3.2 liters. Like the Tek Motion Steel, the Water Chestnut Commercial isn’t supposed to look sleek. It’s a stout metal box that comes with a surprisingly wide degree of useful digital controls. It also emits powerful 40,000 Hz ultrasonic waves and, best of all, isn’t much more expensive than plastic competitors. It is, however, a metal box with no design aesthetic.
As we approach our top two picks, it becomes more challenging to choose. With all honesty, you can’t go wrong choosing between the highly-rated InvisiClean Professional Pro Elite (IC-2755) or our number one pick the Branson B200. We believe each denture cleaning device on our list will undoubtedly serve you well depending on your needs and budget.
The InvisiClean sets itself apart from its competitors with a dual-transducer design that it claims “doubles the cleaning power” of the device. User reviews seem to agree with a stellar net rating of 4.5 out of 5 stars. It also has a stainless steel container and, more importantly, a non-hinged lid which makes adding and removing liquids as well as cleaning much easier. Other useful features include an auto-shutdown timer, touch controls, built-in cooling fan, and internally water-proofed electronics. What could be better than this, right?
While it was a tough call, ultimately the Branson B200 won our number one spot. While pricier than many entry-level devices, the Branson B200 justifies it’s higher asking price by providing a commercial-grade clean for less.
Branson is more known for providing commercial-grade ultrasonic cleaning equipment for commercial or laboratory use. Furthermore, it avoids many of the design and build quality issues associated with other lower-priced cleaning devices.
Instead of plastic, the Branson utilizes high-quality stainless steel. Also, instead of a hinged design or bulky proportions, the Branson instead uses a removable lid and retains rather compact dimensions. When you factor in its high operating frequency and the Branson brand name, the Branson B200 wins on almost every front and is, therefore, our product of choice when it comes to ultrasonic denture cleaners.
© ArtLab Dentistry. All rights reserved